Comfortable Clinic
Our clinic was organized with the latest modern equipment considering the comfort of our patients in the treatment time.
Specialist Doctors
Your dental treatments are performed by doctors specializing in their fields.

In Istanbul
Dental Veneer
If the harmony of gums and teeth is not healthy, bruising and bleeding occur spout in the gums. Consequently, problems such as gum bleeding, bad breath and gum withdrawal arise. Dental coatings are applied with new treatment techniques developed in dentistry. Your physician will decide which type of dental coating will be better for you. One of the important issues to know is that no matter what material is used, there will be no oral and dental health problems with a well-made dental coating.
We continue to improve ourselves day by day
Established in 2006, Citydent dental centre provides dental services for its patients with a team of 12 dentists in 550 m2 dental center. Citydent Dental Clinic Istanbul is in the city centre, Taksim Istanbul
Why Citydent?
We believe that the treatments are more successful with a warm physician-patient dialogue, we archive all the treatment information of our patients and share them with our patients whenever they wish.
Specialist Doctors in the Department
Your dental treatments are carried out by doctors who specialize in their fields.
High Quality Equipment
We take care of your health by using high quality equipment in our treatments.
Comfortable Clinic
Considering the comfort of our clinic patients at the time of treatment, the latest modern equipment was used.
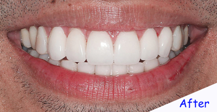
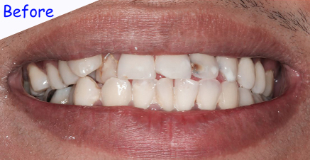
Before and After
In our Citydent Istanbul Coating clinic, all types of coatings prepared according to their biological and physical characteristics can be applied in the mouth.


Types of coatings found in Citydent:
• Porcelain tooth veneer with metal infrastructure
• Porcelain tooth veneer with zirconium infrastructure
• Full ceramic empress dental veneer
• Porcelain Laminate eveneer tooth veneer
• Composite Laminate eveneer dental veneer
Citydent is always at your service for your oral and dental health with its successful and expert physician staff.
You can contact us for questions.





